유착 박리
경막외강(Epidural space) 및 추간공 내의
연부조직 유착을 박리
Spinal & Neurological Disorders
디스크는 척추 뼈 사이의 말랑한 쿠션이 밖으로 튀어나와 신경을 눌러 통증을 유발하는 질환입니다. 허리나 목 통증과 함께 다리나 팔의 저림, 당김 증상이 나타날 수 있습니다.


추간판 탈출증은 단순한 수핵 탈출이 아니라, 신경 감수성을 자극 중 복합적 염증과 섬유륜 손상이 함께 작용해 통증이 발생합니다. 특히 SVN(정맥총)과 주변 공간의 염증 반응이 반복되기 때문에 한 번의 증상 개선으로 끝나지 않고 재발이 잦을 수 있습니다. 따라서 단순 압박이 아닌 근본적 원인 해결과 재발 예방이 핵심입니다.
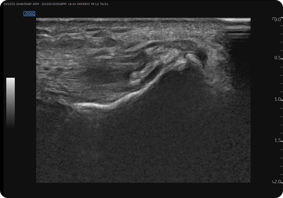
초음파 검사를 통해 황색인대, 관절외관, 신경근, 뿌리동맥 등 주요 구조물의 상태를 실시간으로 확인할 수 있습니다. 이를 바탕으로 SVN이 주행하는 ventral epidural space까지 정확히 파악하여 환자분의 상태에 맞는 치료 계획을 수립할 수 있습니다.

에스본한의원은 해부학적 구조의 이해와 초음파 영상 진단을 바탕으로 치료 이후까지 고려하는 4단계 치료 시스템을 적용하고 있습니다.
경막외강(Epidural space) 및 추간공 내의
연부조직 유착을 박리
손상된 섬유륜과 주변 연부조직 회복 촉진
신경근과 DRG 주변의 염증을 억제하여 통증의 악순환을 차단
약화된 조직을 강화하여 만성 통증의 재발 방지
치료를 넘어 재발을 예방하는
진료부터 검사, 관리까지
한 번에 가능한 원스톱 진료시스템을 만나보세요!
경막외강(Epidural space) 및 추간공 내의
연부조직 유착을 박리
손상된 섬유륜과 주변 연부조직 회복 촉진
신경근과 DRG 주변의 염증을 억제하여 통증의 악순환을 차단
약화된 조직을 강화하여 만성 통증의 재발 방지.

초음파 유도하 침도 요법은 섬유륜, 후종인대, 신경근 등 병변 부위를 직접 보며 시술할 수 있습니다. 이를 통해 추간공 협착, 후관절 유착, 근막성 통증을 함께 개선하고 신경의 gliding 기능 회복에도 도움을 줍니다. 단순한 감압을 넘어 유착 박리와 기능 회복을 동시에 기대할 수 있는 치료입니다.
PDRN 약침은 폴리뉴클레오타이드(Polydeoxyribonucleotide) 성분을 이용하여 손상된 섬유륜 및 주변 연부조직의 조직 재생과 항염 반응을 촉진합니다. 세포 재생과 혈류 개선을 통해 퇴행성 디스크 환자의 조직 회복 기반을 마련하며, 반복적 재발을 줄이는 데 유용하게 활용됩니다.
봉침은 강력한 항염 효과(anti-inflammatory effect)를 통해, 신경근 압박 및 염증성 반응을 조절하는 데 도움을 줍니다. 특히 하지 방사통(radicular pain)이나 좌골신경통이 동반된 환자에게 효과적이며, 급성 통증 완화에 즉각적인 도움을 줄 수 있습니다. 초음파 유도하에 시술함으로써 안전성과 정확성을 확보할 수 있습니다.
자하거 약침은 성장 인자(Growth Factor)와 관련된 성분을 포함하고 있어 조직 회복 및 강화에 기여합니다. 특히 만성화된 디스크 환자에서 손상된 조직의 재생 촉진 및 재발 방지 측면에서 중요한 역할을 하며, 치료 후에도 조직의 안정성 유지에 도움이 됩니다.
에스본한의원은 통증 완화에 그치지 않고, SVN이 주행하는 ventral epidural space 등 근본 원인을 정밀하게 진단·치료합니다. 초음파 유도하 시술을 통해 해부학적 구조를 실시간 확인하며 맞춤형 치료와 재발 방지를 목표로 합니다.
디스크 치료후기